牙 周 治 療 > 牙冠增長術

治療前

治療後

主訴: 我的牙齒很不好看
診斷: 牙齒在萌發時游離牙齦未往下降至牙齒齒頸部之下的現象
治療: 全口牙冠增長術後一星期就顯著改善美觀及功能

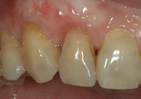
牙 周 治 療 > 牙冠增長術

治療前

治療後

主訴: 我的牙齒很短很黃不好看,而且牙齒越來越平咀嚼不順
診斷: 磨牙造成全口咬合面磨耗及酸性腐蝕,伴隨咬合高度喪失
治療: 全口牙冠增長術及牙套以恢復咬合高度,改善美觀及功能

牙 周 治 療 > 牙周病治療

治療前

治療後

主訴: 我刷牙牙齦一直流血,牙齒鬆動
診斷: 全面性牙周病
治療: 經深部牙結石清除後,再進行牙周清創及再生手術,維持牙周健康

牙 周 治 療 > 牙齦移植整形

治療前

治療後

主訴: 我想讓牙齒好看些
診斷: 右上側門齒及犬齒牙齦萎縮及不理想的樹酯填補
治療: 將不理想的樹酯拿掉,利用牙齦移植手術,讓裸露的牙根有新的牙齦 覆蓋,如此牙齒就不會看起來很長,便可恢復美觀及健康

text